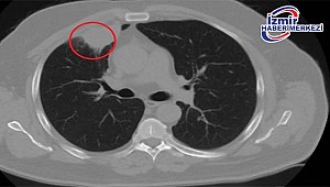
Kent dışında çalışan N.T.’nin, göğüs ağrısı şikayetiyle gittiği hastanede çekilen tomografisinde sağ akciğerinde 4 santimetre çapında tümör tespit edildi. Kanser olabileceği şüphesiyle yapılan ileri tetkikler sonrası N. T.’ye akciğer kanseri teşhisi kondu ve acil ameliyat kararı verildi.
Bunun üzerine N.T., ameliyat için memleketi Kahramanmaraş’a geldi. Sütçü İmam Üniversitesi Sağlık Uygulama ve Araştırma Hastanesi Göğüs Cerrahi Anabilim Dalı Öğretim Üyesi Dr. Fatoş Kozanlı da tomografi ve test sonuçlarına göre N. T.’ye akciğer kanseri teşhisi koydu ve ameliyat yapılması gerektiğini söyledi.
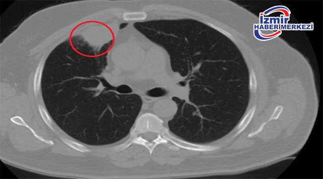
Ameliyat öncesi N.T.’nin Covid-19 testi pozitif çıkınca operasyon ertelendi. Corona virüsü tedavisine başlanan N.T.’nin son testi negatif çıktı. Dr. Fatoş Kozanlı, tedavi sonrası tomografisi çekilen N.T.’nin akciğerindeki tümörün yok olduğunu gördü. Kozanlı, N.T.’nin kendilerine başvurduğunda corona belirtisi olmadığını ancak ameliyat öncesi PCR testi yaptıklarını söyledi. Corona virüsü tedavisinin ardından ortaya çıkan sonucun kendisini de şaşırttığını belirten Kozanlı, şunları söyledi:
– Hastamız, çalıştığı başka bir kentte göğsünden darbe alıyor ve ağrıları geçmeyince bir üniversite hastanesine başvuruyor. Burada hastaya bir akciğer grafisi çekiliyor. Sağ akciğerinde bir kitleye rastlanıyor. Daha sonra hastaya, bir akciğer tomografisi çekiliyor ve göğüs cerrahisi için önemli büyüklükte olan 4 santimetre çapında, akciğer kanserine benzer özellikte radyolojik bulgular olan bir kitle tespit ediliyor. Daha sonra hastaya yapılan ileri tetkiklerde akciğer kanseri teşhisi konuluyor. Hastaya bir cerrahi planlanıyor.


YORUMLAR